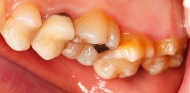
Beber água com rodela de limão pode corroer os dentes, diz estudo

Pesquisadores descobriram que tomar bebidas ácidas, como chás de frutas e águas aromatizadas, pode corroer os dentes e prejudicar seu esmalte. Uma equipe da King’s College, uma universidade de Londres, no Reino Unido, descobriu que tomar essas bebidas entre as refeições e saboreá-las por muito tempo aumenta o risco de erosão dentária por causa do … Leia mais

Belo vê Viviane Araújo desfilar e deixa camarote logo em seguida

Belo esteve no camarote Rio Samba e Carnaval, nesta segunda (12), para assistir à mulher, Gracyanne Barbosa, que desfilou como rainha de bateria da União da Ilha. Acontece que, logo em seguida, outra mulher que marcou sua vida passou pela avenida: Viviane Araújo. A rainha de bateria defendeu o Salgueiro logo depois de Gracyanne. Sem … Leia mais

Vulcões podem ajudar no resfriamento da Terra

Anos atrás, o vulcão filipino Pinatubo entrou em erupção em grande estilo: expeliu mais de 4 km3 de rochas e cinzas e 20 milhões de toneladas de dióxido de enxofre na atmosfera. O gás se espalhou pelo mundo e se combinou com vapor d’água, formando aerossóis, gotículas que refletem um pouco da luz solar para … Leia mais

Dúvidas sobre a CNH digital? Levamos perguntas dos leitores ao Denatran

Levantamos os principais questionamentos feitos por vocês sobre a CNH-e e trazemos as respostas do órgão máximo do trânsito brasileiro A partir desta quinta-feira (1º) os Detrans de todos os 27 estados brasileiros terão de disponibilizar as CNH-e, versão eletrônica da carteira nacional de habilitacão, acessada diretamente pelo celular e que pode ser usada no … Leia mais

De quem são aquelas ligações que desligam na cara?

Seu telefone toca em diversos horários e dias da semana, mas, misteriosamente, ninguém está do outro lado da linha quando você atende. Essa é uma situação muito comum, principalmente para quem ainda tem telefone fixo. Após descartar as hipóteses mais óbvias –as de que houve uma falha no aparelho ou alguém ligou por engano e … Leia mais

Especialistas preveem que o mundo pode ficar sem chocolate em 40 anos

Especialistas preveem que o mundo poderia ficar sem chocolate dentro de 40 anos porque as plantas de cacau estão lutando para sobreviver em climas mais quentes. A notícia é do tabloide britânico Daily Mail. De acordo com o jornal, as árvores de cacau apenas prosperam em condições específicas, com alta umidade e chuva abundante. No … Leia mais

PlayStation tem mais de 600 jogos em promoção até 2 de janeiro

Os proprietários do PlayStation 4 podem aproveitar a virada do ano para adquirir alguns dos melhores jogos do console por preços camaradas: a loja digital PS Store está realizando uma grande liquidação até o dia 2 de janeiro, com mais de 600 games com desconto. Entre as ofertas, se destacam jogos como “Uncharted 4” e … Leia mais

Confira como será o réveillon para cada signo do zodíaco

A preparação para a passagem envolve rituais próprios e superstições para muita gente — mas o que os astros de fato apontam sobre a chegada de 2018? Como aproveitar este momento da melhor maneira para se alinhar com os seus desejos para o novo ano? Veja o que o réveillon reserva para o seu signo: … Leia mais

INSS: Prazo final para que aposentados e pensionistas façam a comprovação de vida é até fevereiro; saiba mais

O INSS (Instituto Nacional do Seguro Social) estendeu até 28 de fevereiro o prazo final para que aposentados e pensionistas façam a comprovação de vida, que é uma exigência do governo. Todos os beneficiários do INSS que recebem seus pagamentos em conta corrente, conta poupança ou cartão magnético devem provar que estão vivos uma vez … Leia mais

Palmeiras oficializou na tarde desta sexta-feira (15) contratação do goleiro Weverton, quarto reforço para 2018

O Palmeiras oficializou na tarde desta sexta-feira (15) o goleiro Weverton como seu quarto reforço para 2018. O jogador de 30 anos, que estava no Atlético-PR, fez exames médicos no clube e assinou contrato de cinco temporadas. O contrato de Weverton com o time paranaense se encerraria no final de maio do ano que vem, … Leia mais

Uso de perfis fakes em campanha será ‘exemplarmente punido’, diz Luiz Fux futuro presidente do TSE

A menos de um ano da eleição de 2018, a Justiça Eleitoral e o Ministério Público têm vários desafios pela frente. Além das tarefas tradicionais de fiscalizar campanha antecipada, compra de voto e financiamento irregular, a internet se tornou uma das principais preocupações. Como revelou uma investigação da BBC Brasil, que deu origem à série … Leia mais

“Sou naturalmente muito sexy”, diz Pabllo Vittar

Pabllo Vittar falou de sua sensualidade no “Vídeo Show” desta quinta-feira (14). A cantora, que no último domingo (10) ganhou o prêmio “Melhores do Ano” do “Domingão do Faustão” na categoria Música por “K.O”, mostra que tem a autoestima nas alturas. “Sou naturalmente muito sexy. O segredo é a olhadinha: abre o olho, fecha e … Leia mais

Petrobras reduz diesel em 0,1% e eleva gasolina em 2,5% nas refinarias do país

A Petrobras anunciou queda de 0,1% no preço do diesel e alta de 2,5% no da gasolina comercializados nas refinarias. Os reajustes serão válidos partir desta quinta-feira(14). Na terça (12), a estatal divulgou alta de 1% no valor do diesel e aumento de 1,1% no preço da gasolina comercializados nas refinarias. Os reajustes eram válidos … Leia mais

Pesquisadores buscam voluntários para passar 56 dias bebendo cerveja

Pesquisadores do Centro de Pesquisa do Homem do Deserto (CIHDE) da cidade de Arica, no Chile estão à procura de voluntários para um estudo científico, que deve durar 56 dias, quase dois meses, bebendo cerveja. O objetivo da pesquisa, explica Claudio Parra, é promover os benefícios de beber com ervas antioxidantes e alcançar, também, propriedades … Leia mais